X-rays taken of a woman with so-called “vanishing bone disease” showed her bones gradually passing from sight on the images, according to a Live Science report.
The woman’s unusual diagnosis of Gorham-Stout disease was detailed in a paper published in BMJ Case Reports.
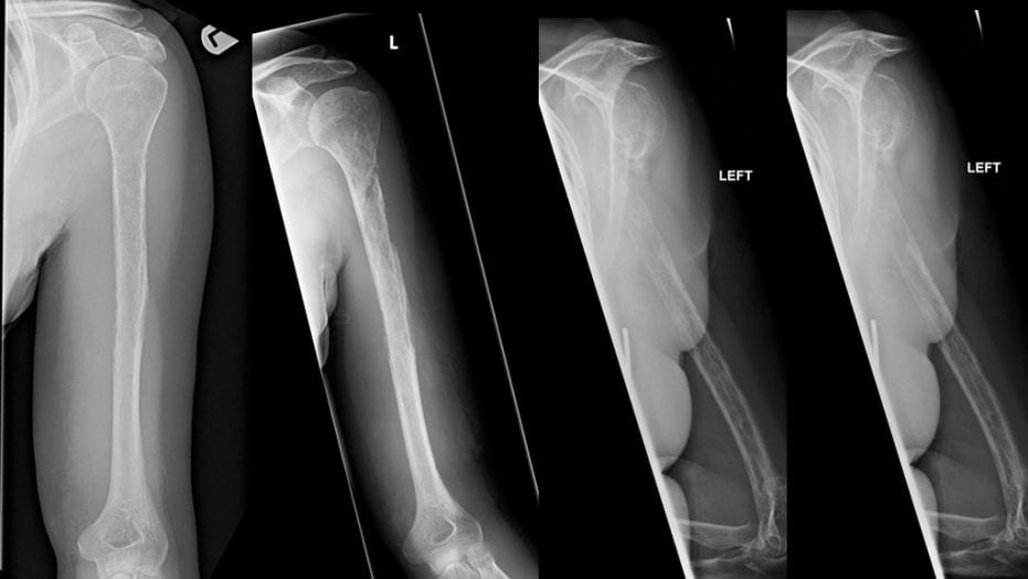
“A previously healthy 44-year-old female presented with an acute history of increasing pain and reduced range of movement in her left shoulder,” researchers explained.
A lesion was found on her humerus, according to the paper, noting that an “initial biopsy provided no definitive diagnosis.”
More biopsies were set up because it was thought there could be something cancerous, researchers said, and a benign blood vessel tumor was reportedly found.
But the story wasn’t over: the woman had pain in her arm a year on and more tests were done, they added.
“About 18 months after the woman first went to the doctor, scans revealed her ‘vanishing’ bones; both her humerus and her ulnar bone (one of the two bones in the forearm) appeared to be disappearing on X-rays,” Live Science explained.
The woman was ultimately diagnosed with Gorham-Stout disease.
Researchers called the illness “an exceptionally rare, poorly understood and potentially fatal skeletal condition” in the paper.
The National Organization for Rare Disorders (NORD)said the cause of the condition isn’t known.
“GSD is thought to be caused by an error in the development of the lymphatic system,” it explained. “In individuals with GSD, bones become infiltrated with lymphatic vessels and are broken down and replaced by a fibrous band of connective tissue.”
